Crea topic

Dott. Andrea Piana da 25 anni dentista a Verona

Dente del giudizio incluso e complicanze

  • Questo topic ha 77 risposte, 3 partecipanti ed è stato aggiornato l'ultima volta 8 mesi fa da Andrea Piana.
Stai visualizzando 15 post - dal 1 a 15 (di 78 totali)
  • Autore
    Post
  • #623 Rispondi
    Alice
    Partecipante

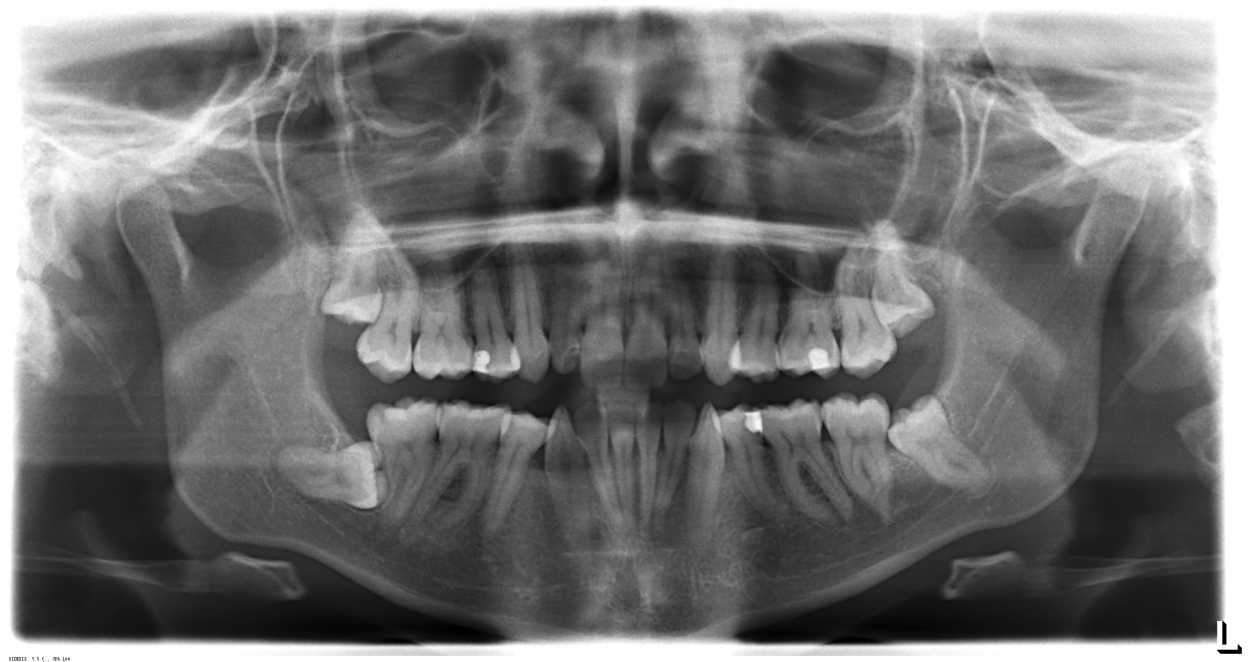
    Buonasera, sono una ragazza di 26 anni e ho tutti i denti del giudizio inclusi. Non mi danno alcun fastidio, ma circa tre anni fa ho notato una piccola apertura della gengiva sopra il dente del giudizio inferiore sinistro. Il dentista mi disse di tenerlo pulito e di non preoccuparmi poiché, anche in base alle lastre fatte successivamente, il dente non spingeva e non dava problemi. Un paio di mesi fa ho notato che il piccolo buco nella gengiva si è un po’ allargato, ho quindi deciso di fare un controllo da un altro dentista, che mi ha fatto fare una tac. Dalla tac è risultato che la radice del dente del giudizio attraversa il nervo alveolare inferiore e toglierlo comporterebbe circa il 20% di rischio di perdita della sensibilità alla guancia e al labbro. Da un lato so che sarebbe meglio prevenire perché potrebbe causarmi infezioni, ma sto male al solo pensiero, da quando mi hanno dato questa notizia ho iniziato ad avere bruciore di stomaco e ad avere difficoltà a dormire (ho sempre avuto la fobia del dentista e ho brutti ricordi di estrazioni fatte in passato per mancanza di spazio). Nel caso decidessi non fare nulla sarei una pazza? E se in futuro mi si cariasse il dente adiacente, dovrei toglierli entrambi?
    La ringrazio per la pazienza e per l’attenzione! Spero di essere stata abbastanza chiara e mi scuso per non aver usato i termini tecnici.
    Le auguro una buona giornata!
    denti del giudizio inclusi

    dentista a verona

    Dott. Piana dentista a Verona

    P.s. Le allego la panoramica fatta a marzo! Grazie ancora!

    #624 Rispondi
    Andrea Piana
    Amministratore del forum

    Buonasera, sono una ragazza di 26 anni e ho tutti i denti del giudizio inclusi. Non mi danno alcun fastidio, ma circa tre anni fa ho notato una piccola apertura della gengiva sopra il dente del giudizio inferiore sinistro. Il dentista mi disse di tenerlo pulito e di non preoccuparmi poiché, anche in base alle lastre fatte successivamente, il dente non spingeva e non dava problemi. Un paio di mesi fa ho notato che il piccolo buco nella gengiva si è un po’ allargato, ho quindi deciso di fare un controllo da un altro dentista, che mi ha fatto fare una tac. Dalla tac è risultato che la radice del dente del giudizio attraversa il nervo alveolare inferiore e toglierlo comporterebbe circa il 20% di rischio di perdita della sensibilità alla guancia e al labbro. Da un lato so che sarebbe meglio prevenire perché potrebbe causarmi infezioni, ma sto male al solo pensiero, da quando mi hanno dato questa notizia ho iniziato ad avere bruciore di stomaco e ad avere difficoltà a dormire (ho sempre avuto la fobia del dentista e ho brutti ricordi di estrazioni fatte in passato per mancanza di spazio). Nel caso decidessi non fare nulla sarei una pazza? E se in futuro mi si cariasse il dente adiacente, dovrei toglierli entrambi?
    La ringrazio per la pazienza e per l’attenzione! Spero di essere stata abbastanza chiara e mi scuso per non aver usato i termini tecnici.
    Le auguro una buona giornata!
    P.s. Le allego la panoramica fatta a marzo! Grazie ancora!

    Ciao Alice. Innanzi tutto il primo consiglio che ti do é di non farti venire un’ulcera per la preoccupazione….Passando poi alla questione, non si puó nascondere che i tuoi denti del giudizio siano in una posizione anatomica infelice (sopratutto quello alla destra guardando la radiografia).
    Io personalmente non leverei un dente del giudizio a rischio alto di complicazioni se non vi fossero problemi connessi come carie, dolore o infezioni. La cosa che potrei aspettarmi col tempo é una coronarite….cioé una infezione della gengiva attorno alla corona del dente che non riesce ad uscire completamente come gli altri denti. Questo genere di infezione é abbastanza superficiale e capriccioso nelle sue manifestazioni (va e viene senza una regola precisa). Preciso peró che ho visto numerose volte pazienti con denti similari al tuo, che non hanno dato manifestazioni per una vita intera.
    Se si dovesse rendere necessaria l’estrazione peró non esiterei a rivolgermi ad un reparto maxillo-faciale e nelle mani di un buon chirurgo dove c’é la possibilitá di maneggiare il nervo con una certa familiarietá, dovendo nel tuo caso separare il dente i due per liberare il nervo passante.
    Per rispondere alla tua seconda domanda (se si cariasse il dente attiguo…), direi che la cosa é separata e non comporta alcun legame con la sorte del dente del giudizio.
    Certo, se vi fosse stata la lungimiranza di levarli quando erano dei semplici germi dentari senza le radici formate, sarebbe stata una scelta vincente, ma col “senno di poi” é facile fare i ragionamenti.
    Cerca quindi di tranquillizarti..potresti rimanere in standby per una vita intera, e se dovessi affrontare la cosa cerca di vedere il bicchiere mezzo pieno e cioé che avresti ben l’ottanta per cento di probabile successo ed anche di piú se sceglierai le mani giuste 😉
    Ti ringrazio per avere postato il tuo caso. Se avessi novitá non esitare a pubblicare anche gli aggiornamenti.
    Ciao

    #631 Rispondi
    Alice
    Partecipante

    Buongiorno dottore!
    Innanzitutto, grazie per i suoi consigli e per la sua disponibilità!
    Sono andata a fare un altro controllo, questa volta a Bologna, e volevo aggiornarla su quanto mi è stato detto.
    Il suo collega è del parere che sarebbe meglio intervenire perché con il tempo, oltre a potermi provocare una seria infezione, il dente del giudizio potrebbe spingere gli altri denti, portandoli ad accavallarsi.
    La sua alternativa è la seguente: escludendo l’intervento presso un chirurgo maxillo-facciale poiché molto rischioso, si andrebbe a tagliare un pezzo di dente del giudizio in modo da poterlo agganciare con una specie di anellina; successivamente si posizionerebbero sui tre denti vicini delle piastrine simili a quelle dell’apparecchio fisso, che andrebbero poi legate con degli elastici all’anellina applicata al dente del giudizio. L’intento sarebbe poi di tirare su il dente del giudizio, in modo da arrivare a poterlo estrarre senza complicazioni. Così facendo, nel caso ci fosse una compressione del nervo e mi accorgessi che ho minore sensibilità al labbro o a parte del viso, si potrebbe interrompere tutto, recuperando quindi la sensibilità senza lesionare il nervo in modo permanente.
    È sicuramente una prospettiva migliore (nonostante le tempistiche siano molto lunghe), ma non ho comunque ancora preso una decisione, anche se ho notato che la gengiva intorno al dente si sta sempre di più “mangiando”, ovvero l’apertura è sempre più profonda, pur non provocandomi dolore o altri problemi.
    La preoccupazione continua ad essere sempre presente, ma almeno il bruciore di stomaco è passato!
    Spero di essere stata abbastanza chiara nella spiegazione e mi scuso, di nuovo, per non avere usato i termini tecnici adeguati.
    La ringrazio per l’attenzione e le auguro una buona giornata!

    #632 Rispondi
    Andrea Piana
    Amministratore del forum

    Buongiorno dottore!
    Innanzitutto, grazie per i suoi consigli e per la sua disponibilità!
    Sono andata a fare un altro controllo, questa volta a Bologna, e volevo aggiornarla su quanto mi è stato detto.
    Il suo collega è del parere che sarebbe meglio intervenire perché con il tempo, oltre a potermi provocare una seria infezione, il dente del giudizio potrebbe spingere gli altri denti, portandoli ad accavallarsi.
    La sua alternativa è la seguente: escludendo l’intervento presso un chirurgo maxillo-facciale poiché molto rischioso, si andrebbe a tagliare un pezzo di dente del giudizio in modo da poterlo agganciare con una specie di anellina; successivamente si posizionerebbero sui tre denti vicini delle piastrine simili a quelle dell’apparecchio fisso, che andrebbero poi legate con degli elastici all’anellina applicata al dente del giudizio. L’intento sarebbe poi di tirare su il dente del giudizio, in modo da arrivare a poterlo estrarre senza complicazioni. Così facendo, nel caso ci fosse una compressione del nervo e mi accorgessi che ho minore sensibilità al labbro o a parte del viso, si potrebbe interrompere tutto, recuperando quindi la sensibilità senza lesionare il nervo in modo permanente.
    È sicuramente una prospettiva migliore (nonostante le tempistiche siano molto lunghe), ma non ho comunque ancora preso una decisione, anche se ho notato che la gengiva intorno al dente si sta sempre di più “mangiando”, ovvero l’apertura è sempre più profonda, pur non provocandomi dolore o altri problemi.
    La preoccupazione continua ad essere sempre presente, ma almeno il bruciore di stomaco è passato!
    Spero di essere stata abbastanza chiara nella spiegazione e mi scuso, di nuovo, per non avere usato i termini tecnici adeguati.
    La ringrazio per l’attenzione e le auguro una buona giornata!

    Ciao Alice,grazie per avermi aggiornato 🙂
    Ciò di cui mi parli si chiama “estrusione ortodontica”.Sicuramente è un’idea, ma qualche dubbio lo avanzo ugualmente, perché occorre valutare la TAC per escludere che il nervo non sia agganciato alla radice a mó di uncino…se così fosse sarebbe arduo pensare di fare sgusciare la radice senza tirarsi indietro il nervo. Inoltre vista l’angolazione del dente, bisognerebbe fare i conti con la direzione di uscita, che deve essere garantita da una usura progressiva del dente tale da garantirgli un movimento in alto….manovra che potrebbe risultare essa stessa tale da creare poi l’obbligo estrattivo per problemi correlati al molare “ritoccato”. A vedere la radiografia non mi sembra facile.
    Alcune rare volte per non correre molti rischi si può decidere di consumare il dente lasciando le parti più profonde della radice nella mandibola.
    Magari se vuoi mandami qualche immagine della TAC così potrò essere più preciso.
    Relativamente invece alla progressiva apertura della gengiva attorno al molare, ti dico subito che è normale e non credo che sia foriera di ulteriori disagi. Una volta fenestrata la gengiva, che sia un’apertura piccola o grande, cambia poco.
    A questo punto attendo aggiornamenti. Ciao!

    #633 Rispondi
    Alice
    Partecipante

    Gentilissimo Dottor Piana, quello che mi ha detto mi ha aperto uno spiraglio di speranza!!
    La TAC ce l’ho su un cd e purtroppo non riesco ad inviargliela, né a selezionare le immagini che le interessano perché non ho idea di quali siano.
    Se per lei va bene, pensavo di risolvere il problema venendo direttamente presso il suo studio a Gazzolo, così può valutare il tutto molto meglio!
    Dal paese in cui abito dovrei metterci circa un’ora e venti in macchina, quindi si può fare! Se lei è d’accordo in settimana la chiamo per fissare un appuntamento.
    Nel frattempo le auguro una buona domenica!
    Alice

    #634 Rispondi
    Andrea Piana
    Amministratore del forum

    Gentilissimo Dottor Piana, quello che mi ha detto mi ha aperto uno spiraglio di speranza!!
    La TAC ce l’ho su un cd e purtroppo non riesco ad inviargliela, né a selezionare le immagini che le interessano perché non ho idea di quali siano.
    Se per lei va bene, pensavo di risolvere il problema venendo direttamente presso il suo studio a Gazzolo, così può valutare il tutto molto meglio!
    Dal paese in cui abito dovrei metterci circa un’ora e venti in macchina, quindi si può fare! Se lei è d’accordo in settimana la chiamo per fissare un appuntamento.
    Nel frattempo le auguro una buona domenica!
    Alice

    Alice, ti ringrazio della fiducia. Se vuoi fare un salto non ci sono problemi, guarderemo insieme la tac. Tieni presente comunque che se avessi bisogno di qualche ulteriore scansione della mandibola, nello studio di Verona possiedo un apparecchio TAC-Cone Beam. Ma valuta tu.
    Buona serata anche a te.

    #635 Rispondi
    Alice
    Partecipante

    Buongiorno dottore! Grazie mille, come sempre, per la sua disponibilità, professionalità e gentilezza!!
    Volevo dirle che venerdì ho approfittato di un appuntamento che aveva mia mamma dal suo dentista per poter chiedere anche a lui un parere, e mi ha detto esattamente quello che mi ha detto lei: perché andare ad intervenire se il dente non crea problemi?! L’unica cosa che farebbe lui al momento è aprire un po’ di più con il laser la finestrella che ho già nella gengiva, in modo da poterla tenere più pulita, perché per quanto io usi la spatolina e faccia risciacqui con il collutorio non è sufficiente.
    Mi sembra una soluzione ragionevole, lei cosa ne pensa?
    Dato che mi fido molto del suo parere e ho trovato un suo collega che è della sua stessa opinione, pensavo di rimandare la visita a Gazzolo, esclusivamente per un fatto di comodità. Se però lei preferisce vedermi, appena riesco a ritagliarmi mezza giornata prenoto un appuntamento!
    Volevo chiederle anche un’altra cosa: il collutorio è bene usarlo almeno una volta tutti i giorni o con meno frequenza? C’è una marca in particolare che mi può consigliare?
    ……………………………..
    Grazie di tutto, le auguro una buona giornata!

    #636 Rispondi
    Andrea Piana
    Amministratore del forum

    Ciao Alice, ormai stiamo diventando amici 🙂
    Tornando a noi, credo che il tentativo di essere meno traumatici possibile sia una buona strada. Se poi si dovesse intervenire piú avanti ci si penserá. Il collega la pensa come me e tanto basta 😉
    Per il collutorio direi che non esiste una preferenza legata alla marca, ma piuttosto legata alla sostanza. É necessario che contenga clorexidina, la quale assicura un’azione battericida/batteriostatica provata scientificamente.
    A questo punto non posso che augurarti un sincero “in bocca a lupo”. Per ogni altra cosa, sai dove trovarmi.
    Ciao

    #9660 Rispondi
    Barbara
    Partecipante

    Egregio Dottore,

    potrebbe gentilmente darmi un suo parere riguardo al mio dente incluso (in basso a sx nella radiografia)  ?

    Ho effettuato una panoramica il 31.3.2017. In verità è almeno un anno che ogni tanto mi tira un po’ la corda del collo all’altezza dell’orecchio, non saprei dire, non è dolore, ma un fastidio che ogni tanto sento.  Pare quasi che sia un fastidio correlato alla mascella. La gengiva è normale, non arrossata, il dente non si vede e non si sente al tatto. Mangio normalmente senza dolore però quando apro molto la bocca mi sento un po’ che tira la corda del collo dalla parte dove c’è questo dente incluso. Mi sto chiedendo se ci sia magari un ascesso in corso? Non ho febbre ne nulla solo mi sto un po’ preoccupando che sia da togliere, considerando che i denti sotto possono dare problemi se si tocca i nervi della mandibola, ecc. Io non lo toccherei mai ma lei cosa pensa dalla panoramica allegata? Non penso ci sia nessun ascesso in corso o vede qualcosa di strano? Comunque se fosse da togliere dovrei rivolgermi a un normale dentista oppure no? Sarebbe facile da togliere oppure può essere che sia posizionato su qualche nervo della mandibola?

    Scusi le domande ma io soffro di odontofobia piuttosto grave, con attacchi di panico e per farmi devitalizzare un dente nel 2010 ho dovuto fare una sedazione in vena 🙁

    Grazie, cordiali saluti. 

    #9668 Rispondi
    Andrea Piana
    Amministratore del forum

    Egregio Dottore, potrebbe gentilmente darmi un suo parere riguardo al mio dente incluso (in basso a sx nella radiografia) ? Ho effettuato una panoramica il 31.3.2017. In verità è almeno un anno che ogni tanto mi tira un po’ la corda del collo all’altezza dell’orecchio, non saprei dire, non è dolore, ma un fastidio che ogni tanto sento. Pare quasi che sia un fastidio correlato alla mascella….. 

    Ho evidenziato con le frecce i possibili problemi di quell’area. Il dente del giudizio incluso presenta un’area sospetta, che si crea se si apre uno spazio anche molto piccolo nella gengiva adiacente (freccia rossa). Ma anche il dente vicino ha un processo infiammatorio all’apice della radice. Ora dirle con certezza se i sintomi che ha siano correlati con questi fattori, non è possibile, ma se mi chiedesse cosa fare, avrei iniziato da qui.

    Il dente del giudizio è molto vicino al nervo, ma con una radiografia TAC e un buon dentista non dovrebbe avere alcun problema.

    Consiglio inoltre di mettere a posto il resto della bocca. Si armi di pazienza e coraggio e affronti il problema. Aspettare non può che aggravare ulteriormente il quadro. Ci pensi bene.

    Dente del giudizio incluso

    #9673 Rispondi
    Barbara
    Partecipante

    Grazie Dottore per il suo parere.

    Non mi aspettavo che avesse problemi l’ultimo molare, lo avevo devitalizzato nel 2010 e pensavo quello fosse curato. Ma cosa dovrei fare ? Toglierli entrambi ? O basta un antibiotico per guarire il processo infiammatorio sotto il molare ? Magari non è il dente incluso che mi causa questo senso di tiraggio ma quella cosa sotto il molare… ma è un ascesso sotto il molare ?

    #9675 Rispondi
    Andrea Piana
    Amministratore del forum

    Grazie Dottore per il suo parere. Non mi aspettavo che avesse problemi l’ultimo molare, lo avevo devitalizzato nel 2010 e pensavo quello fosse curato. Ma cosa dovrei fare ? Toglierli entrambi ? O basta un antibiotico per guarire il processo infiammatorio sotto il molare ? Magari non è il dente incluso che mi causa questo senso di tiraggio ma quella cosa sotto il molare… ma è un ascesso sotto il molare ?

    La strategia può cambiare da dentista a dentista. Personalmente programmerei l’estrazione del giudizio poi penserei al dente vicino con modalità inizialmente non estrattiva. Meglio fare passi uno alla volta e valutare i sintomi. Non credo che l’antibiotico possa in questi casi sortire effetti miracolosi, ma solo temporanei…

    #11261 Rispondi
    Maria
    Ospite

    Gentile dottore,

    • le scrivo per avere un’ informazione. Nella giornata di ieri il mio dentista ha provveduto all’ estrazione del dente del giudizio inferiore destro. Ciò che sembrava essere  secondo panoramica un intervento semplice, si è trasformato in un intervento complesso di quasi due ore, dovuto alla radice ad uncino e alla sua vicinanza al nervo. Ha provveduto a dividere il dente con un macchinario ad ultrasuoni e ad estrarlo Interamente. L’effetto dell’ anestesia credo sia scomparso 40 minuti dopo la conclusione. Ora però, escluso un gonfiore abbastanza evidente, sulla guancia destra, ed una trazione guancia-mento, dovuto credo al trauma, non provo alcun tipo di dolore. Sto seguendo la terapia di antibiotico e cortisone ( per ridurre l’edema), tachipirina solo la sera, a cui seguono lavaggi di collutorio a base di clorexidina, che terminerò lunedì. Purtroppo, da soggetto ansioso quale sono, ho paura che l’ assenza totale di dolore sia collegabile ad una compromissione del nervo. Lei pensa sia normale questa assenza di dolore, nonostante l’intervento complesso e l’ edema così evidente?

    La ringrazio per l’attenzione,

    Maria

    #11266 Rispondi
    Andrea Piana
    Amministratore del forum

    Gentile dottore,

    • le scrivo per avere un’ informazione. Nella giornata di ieri il mio dentista ha provveduto all’ estrazione del dente del giudizio inferiore destro. Ciò che sembrava essere secondo panoramica un intervento semplice, si è trasformato in un intervento complesso di quasi due ore, dovuto alla radice ad uncino e alla sua vicinanza al nervo. Ha provveduto a dividere il dente con un macchinario ad ultrasuoni e ad estrarlo Interamente. L’effetto dell’ anestesia credo sia scomparso 40 minuti dopo la conclusione. Ora però, escluso un gonfiore abbastanza evidente, sulla guancia destra, ed una trazione guancia-mento, dovuto credo al trauma, non provo alcun tipo di dolore. Sto seguendo la terapia di antibiotico e cortisone ( per ridurre l’edema), tachipirina solo la sera, a cui seguono lavaggi di collutorio a base di clorexidina, che terminerò lunedì. Purtroppo, da soggetto ansioso quale sono, ho paura che l’ assenza totale di dolore sia collegabile ad una compromissione del nervo. Lei pensa sia normale questa assenza di dolore, nonostante l’intervento complesso e l’ edema così evidente?

    La ringrazio per l’attenzione, Maria

    La sofferenza del nervo mandibolare si manifesta con parestesia (come se l’anestesia perduri nei giorni)  del labbro/mento del lato interessato. La semplice assenza di dolore segnala solo che le è andata benone😉

    #11267 Rispondi
    Maria
    Ospite

    Buongiorno dottore,

    la ringrazio molto per la risposta.

    Le auguro una splendida giornata! 🙂

Stai visualizzando 15 post - dal 1 a 15 (di 78 totali)
Rispondi a: Risposta #17894 in Dente del giudizio incluso e complicanze

You can use BBCodes to format your content.
Your account can't use Advanced BBCodes, they will be stripped before saving.

Le tue informazioni: