Crea topic

Dott. Andrea Piana da 25 anni dentista a Verona

La pressione su un dente mi provoca dolore

Stai visualizzando 15 post - dal 91 a 105 (di 194 totali)
  • Autore
    Post
  • #12291 Rispondi
    Andrea Piana
    Amministratore del forum

    Buongiorno Dottore, io ho incapsulato un dente ultimo molare non devitalizzato. Sin dall’anizio è rimasto sensibile al freddo e al caldo ( sopratutto freddo) adesso da qualche giorno comincia a fare male sopratutto di notte….

    È probabile che necessiti di una devitalizzazione. I denti ridotti per la protesi possono purtroppo riservare queste sorprese

    Niente di drammatico, ma dovrà ancora sedersi dal suo dentista.

    #12286 Rispondi
    Nunzia Noceroni
    Ospite

    Salve dottore. Le scrivo per chiedere alcuni informazioni.

    E da mercoledì scorso che ho un dolore al molare molto persistente. Ho provato con ananase, “oki infiammazione e dolore” e tachiripina in caso di dolore forte. Si è un po gonfiato il viso e le ghiandole,ad oggi dopo 5-6 giorni non riesco a chiudere bene i denti perché è come se fosse più lungo. Non so se sia infezione o no,non ho avuto febbre o altri sintomi, tra l’altro sono quasi allergica a tutti gli antibiotici e quindi mi risulterebbe difficile iniziare una cura antibiotica. Devo preoccuparmi ? Cosa può essere ? La ringrazio in anticipo per la sua risposta .

     

    #12295 Rispondi
    Andrea Piana
    Amministratore del forum

    Salve dottore. Le scrivo per chiedere alcuni informazioni. E da mercoledì scorso che ho un dolore al molare molto persistente. Ho provato con ananase, “oki infiammazione e dolore” e tachiripina in caso di dolore forte. Si è un po gonfiato il viso e le ghiandole,ad oggi dopo 5-6 giorni non riesco a chiudere bene i denti perché è come se fosse più lungo. Non so se sia infezione o no,non ho avuto febbre o altri sintomi, tra l’altro sono quasi allergica a tutti gli antibiotici e quindi mi risulterebbe difficile iniziare una cura antibiotica. Devo preoccuparmi ? Cosa può essere ? La ringrazio in anticipo per la sua risposta .

    I sintomi che mi riferisce sono compatibili con una notevole infiammazione dei tessuti che circondano il dente ed il senso di dente rialzato è una iniziale espulsione spontanea del dente. Dovrà contattare, senza aspettare, il suo dentista che con delle radiografie chiarirà meglio il suo quadro clinico. Nella mia esperienza, quando si manifestano questi sintomi, il dente va incontro all’estrazione in un numero notevole di volte.

    #12342 Rispondi
    Andrea
    Ospite

    Buongiorno Dottore, vorrei chiedere un vs parare su un problema a un molare inferiore sx che mi è capitato giorni fa.

    Facendo al mattino colazione mi accorgo che sento in bocca dei pezzettini di dente al chè mi rendo subito conto che si è scheggiato, e la punta del dente mi batte sulla lingua irritandomela poi nelle ore successive.

    Con molta fatica trovo un dentista disponibile il 14 agosto che mi ottura il dente, informandomi che la causa è una carie piùttosto profonda.

    1/2 giorni dopo l’otturazione sento un dolore al dente non appena mastico qualsiasi cosa, oppure faccio pressione con il dito sulla parte superiore. Non avverto nessuna sensibilità al caldo o al freddo, o forse diciamo molto molto lieve. Mentre non avverto nessun dolore durante il giorno o la notte. Il vero problema è il dolore acuto quando mastico.

    Come mai nonostante l’otturazione masticando sento dolore ? e quale potrebbe essere la causa a questo punto ? Potrebbe essere l’otturazione fatta male ?

    #12346 Rispondi
    Andrea Piana
    Amministratore del forum

    Buongiorno Dottore, vorrei chiedere un vs parare su un problema a un molare inferiore sx…..

    Potrebbe essere qualsiasi cosa, sarei però propenso a credere che sia semplicemente una registrazione occlusale non esatta. Infatti è un dolore che viene tipicamente dopo qualche giorno di utilizzo. Torni dal sua dentista e glielo faccio presente e poi magari mi faccia sapere.

    #12353 Rispondi
    Enrico
    Ospite

    Salve.Io da un bel po di mesi ho continui dolori in zona molari superiori a sinistra.Ho effettuato almeno 20 visite dentistiche e 6 igienisti diversi mi hanno effettuato la detartrasi negli ultimi 2 anni.In una visita a Napoli un dottore mi ha fatto una rx endorale digitata ingrandita al pc e mi ha detto che tra questi 2 molari c’era tartaro calcificato da almeno 12 anni e mi ha inserito nel preventivo una carie sul secondo molare ma io tramite specchietto noto un buco nero anche sul dente del giudizio , inoltre mi ha detto che non e’ stata curata bene la carie sul premolare inferiore..Ho due carie anche se non e’ normale dopo tutte queste visite e detartrasi..Il radiologo mi ha inserito come referto questo : Piccole trasparenze smaltee interprossimali contrapposte 17-18 come per minute carie, reperti da accertare clinicamente. 

    #12356 Rispondi
    Andrea Piana
    Amministratore del forum

    Salve.Io da un bel po di mesi ho continui dolori in zona molari superiori a sinistra.Ho effettuato almeno 20 visite dentistiche e 6 igienisti diversi mi hanno effettuato la detartrasi negli ultimi 2 anni.In una visita a Napoli un dottore mi ha fatto una rx endorale digitata ingrandita al pc e mi ha detto che tra questi 2 molari c’era tartaro calcificato da almeno 12 anni e mi ha inserito nel preventivo una carie sul secondo molare ma io tramite specchietto noto un buco nero anche sul dente del giudizio , inoltre mi ha detto che non e’ stata curata bene la carie sul premolare inferiore..Ho due carie anche se non e’ normale dopo tutte queste visite e detartrasi..Il radiologo mi ha inserito come referto questo : Piccole trasparenze smaltee interprossimali contrapposte 17-18 come per minute carie, reperti da accertare clinicamente.

    Carie

    sembra improbabile che i dolori di cui lei soffre siano riferibili alla parte superiore……il tartaro calcificato per esempio io non lo vedo, ne vedo particolari carie anche se devo fare i conti con una definizione non proprio ottimale delle immagine che mi ha mandato. Sinceramente proverei a riparare innanzitutto la vecchia otturazione che ha nell’arcata sottostante. Alle volte i dolori possono essere riferiti alle aree più impensate e poi rivalutarei la faccenda. Inoltre è anche probabile che quel dente la cui otturazione sarà da rifare, abbia un problema alla polpa infatti quella carie è molto profonda……. si faccia fare magari anche un test di vitalità per capire se ha bisogno di eseguire una cura canalare.

    In sostanza prima di fare qualsiasi cosa nella parte superiore io agirei sotto.

    #12360 Rispondi
    Diego Battaglia
    Ospite

    Gentile dott. Piana. Ho un dolore nella parte superiore che non capisco a cosa sia dovuto. Ultimamente ho subito un otturazione ad un dente in quella zona che si era scheggiato e in seguito dopo qualche settimana si è formato un buco, così prima che diventasse troppo profondo e che mi facesse male l’ho fatto otturare.

    Prima di questa otturazione al 6° dente superiore, mi è stato tolto il dente del giudizio con una carie che ha compromesso il nervo in maniera grave, e oltre tutto 6°, 7° e dente del giudizio erano messi come a formare un triangolo.

    Apparentemente la prima settimana dopo l’otturazione nessun dolore, dopo 2 settimane piccole fitte intermittenti che ha me sembravano normali per via della formazione di nuova dentina, e adesso sono più insistenti e non capisco se sia dovuto ad un infiammazione della gengiva per via dello spostamento del 7° al suo posto, preso in precedenza dal dente del giudizio o il 6° per via di un infezione o pulpite.

    #12364 Rispondi
    Andrea Piana
    Amministratore del forum

    Gentile dott. Piana. Ho un dolore nella parte superiore che non capisco a cosa sia dovuto. Ultimamente ho subito un otturazione ad un dente in quella zona che si era scheggiato e in seguito dopo qualche settimana si è formato un buco, così prima che diventasse troppo profondo e che mi facesse male l’ho fatto otturare. Prima di questa otturazione al 6° dente superiore, mi è stato tolto il dente del giudizio con una carie che ha compromesso il nervo in maniera grave, e oltre tutto 6°, 7° e dente del giudizio erano messi come a formare un triangolo. Apparentemente la prima settimana dopo l’otturazione nessun dolore, dopo 2 settimane piccole fitte intermittenti che ha me sembravano normali per via della formazione di nuova dentina, e adesso sono più insistenti e non capisco se sia dovuto ad un infiammazione della gengiva per via dello spostamento del 7° al suo posto, preso in precedenza dal dente del giudizio o il 6° per via di un infezione o pulpite.

    Quando si fanno interventi su più denti può essere un rompicapo capire esattamente l’accaduto.

    Se non è insopportabile direi che è meglio aspettare alcune settimane ed agire “a bocce ferme” per non curare erroneamente ciò che avrebbe bisogno solo di attesa.

    #12481 Rispondi
    Martina
    Ospite

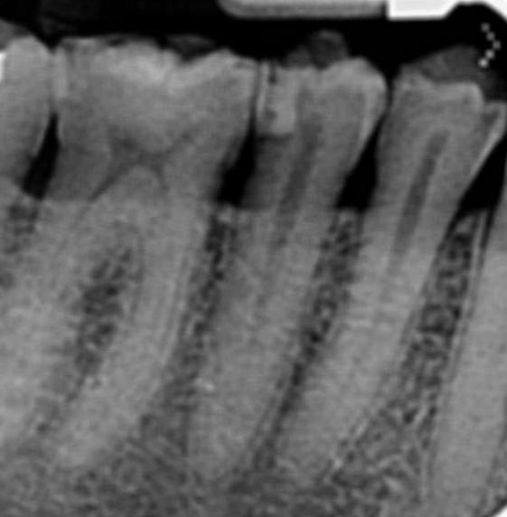
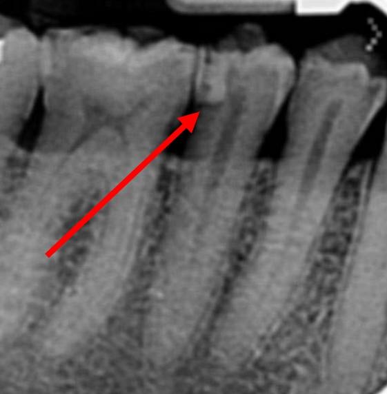
    ..Salve dott.Piana, se fosse possibile vorrei un suo consiglio in merito ad un problema al terzultimo molare in alto a sinistra. a luglio del 2017 dopo la cura di una carie estesa mi è stato consigliato il posizionamento di una capsula, il tutto è stato eseguito senza la devitalizzazione del dente. A gennaio ho iniziato ad avvertire qualche fastidio a livello gengivale con un piccolo rigonfiamento esterno della stessa, pensando si trattasse di semplice nevralgia, non ho dato peso alla cosa sino ad un mese e mezzo fa. Infatti verso la fine di luglio il fastidio gengivale e il gonfiore sono aumentati, e esternamente sulla gengiva sopra la capsula si è formata una sorta di pallina morbida al tatto e senza dolore. Dopo qualche giorno questa pallina si è come bucata lasciando uscire dal bordo tra capsula e gengiva pus e un po di sangue. Mi sono recata dal mio dentista che mi ha consigliato una pulizia più accurata con scovolino, un gel e antibiotico per 10 giorni. Ha eseguito anche una radiografia locale scoprendo una carie sul moncone del dente. Con la cura antibiotica gonfiore e pus sono relativamente passati, non ho nessun dolore a livello di pressione o tocco, un leggero fastidio al freddo, ma nulla di specifico in quanto soffro in ogni dente di una sensibilità esagerata, però da qualche giorno ho notato che con lo scovolino esce nuovamente del pus da sopra la capsula e se premo leggermente sulla gengiva. inizio a preoccuparmi. Sono in attesa del rientro dalle ferie del mio dentista, lei potrebbe darmi qualche consiglio e dirmi se nel caso avrebbe dovuto avere qualche accorgimento differente riguradante in caso? la ringrazio in anticipo. Martina

    #12483 Rispondi
    Andrea Piana
    Amministratore del forum

    ..Salve dott.Piana, se fosse possibile vorrei un suo consiglio in merito ad un problema al terzultimo molare in alto a sinistra. a luglio del 2017 dopo la cura di una carie estesa mi è stato consigliato il posizionamento di una capsula, il tutto è stato eseguito senza la devitalizzazione del dente. A gennaio ho iniziato ad avvertire qualche fastidio a livello gengivale con un piccolo rigonfiamento esterno della stessa, pensando si trattasse di semplice nevralgia, non ho dato peso alla cosa sino ad un mese e mezzo fa. Infatti verso la fine di luglio il fastidio gengivale e il gonfiore sono aumentati, e esternamente sulla gengiva sopra la capsula si è formata una sorta di pallina morbida al tatto e senza dolore. Dopo qualche giorno questa pallina si è come bucata lasciando uscire dal bordo tra capsula e gengiva pus e un po di sangue. ……. Martina

    Buongiorno senza radiografie e sinceramente molto difficile dare un parere però da come lo descrive penserei ad una necrosi del dente. Non è naturalmente l’unica causa che crea un gemizio di pus come lo descrive lei, si potrebbe trattare anche di una patologia dalla biforcazione e questo dipende anche da quanti anni ha lei. Se avesse modo di postarmi un’ immagine radiografica sarei più preciso.

    P.s. Dopo una cura antibiotica è naturale che qualsiasi processo infettivo si spenga, ma in questo caso è solo un successo temporaneo.

    #12484 Rispondi
    Martina
    Ospite

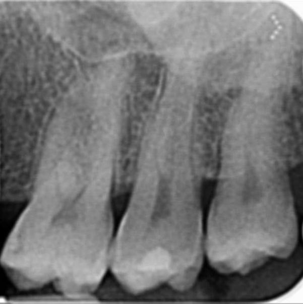
    rx

    ..Gentilissimo dott.Piana, la ringrazio per la sua velocissima risposta. Questa rx è lunica vosa che ho, mi è stata fatta a luglio nello studio. Ho 30 anni e purtroppo non ho una buona storia dentale. Curo i denti da quando sono bambina, causa carie estese e dopo aver messo l’apparecchio per denti storti e mal occlusione la cosa è peggiorata dal posizionamento dell’espansore.

    #12486 Rispondi
    Andrea Piana
    Amministratore del forum

    ..Gentilissimo dott.Piana, la ringrazio per la sua velocissima risposta. Questa rx è lunica vosa che ho, mi è stata fatta a luglio nello studio. Ho 30 anni e purtroppo non ho una buona storia dentale. Curo i denti da quando sono bambina, causa carie estese e dopo aver messo l’apparecchio per denti storti e mal occlusione la cosa è peggiorata dal posizionamento dell’espansore.

    Spero che questa radiografia sia precedente alle cure!…Comunque NON si tratta di patologia della biforcazione che comunque alla sua età e praticamente assente. Invece è chiaro che questo dente deve essere devitalizzato (bene) immediatamente perchè la carie tocca ormai la parte vitale. La corona va rifatta preceduta però da un perno moncone ben fatto.

    Corona e carie

     

    #12509 Rispondi
    Elena
    Ospite

    Gentilissimo dott. Piana, ieri mi è stata fatta un’otturazione nel dente n. 15 per rimuovere una piccola carie superficiale, senza toccare il nervo, a detta della dentista. Questo dente non mi aveva mai dato alcun dolore. Passata l’anestesia, da ieri sera è iniziato un dolore costante al dente e malditesta sulla tempia corrispondente. Stamattina ho preso un Enantyum, consigliatomi telefonicamente dalla dentista (che purtroppo potrà visitarmi soltanto lunedì, fra 3 giorni!), ma il dolore non è passato, è migliorato solo il maldistesta. Il dolore è costante e fastidioso, e mi sembra molto localizzato sul dente in questione, però più attorno che all’interno. Quali potrebbero essere le cause? Ha qualche consiglio da darmi, nell’attesa della visita? Un medicinale alternativo all’Enantyum da indicarmi? Grazie.

    #12511 Rispondi
    Andrea Piana
    Amministratore del forum

    Gentilissimo dott. Piana, ieri mi è stata fatta un’otturazione nel dente n. 15 per rimuovere una piccola carie superficiale, senza toccare il nervo, a detta della dentista. Questo dente non mi aveva mai dato alcun dolore. Passata l’anestesia, da ieri sera è iniziato un dolore costante al dente e malditesta sulla tempia corrispondente. Stamattina ho preso un Enantyum, consigliatomi telefonicamente dalla dentista (che purtroppo potrà visitarmi soltanto lunedì, fra 3 giorni!), ma il dolore non è passato, è migliorato solo il maldistesta. Il dolore è costante e fastidioso, e mi sembra molto localizzato sul dente in questione, però più attorno che all’interno. Quali potrebbero essere le cause? Ha qualche consiglio da darmi, nell’attesa della visita? Un medicinale alternativo all’Enantyum da indicarmi? Grazie.

    Se è vero che si tratta di carie superficiale è molto difficile che sia interessata la parte interna del dente e invece molto probabile che la parte sofferente sia la gengiva. Normalmente sono dolori che passano in due o tre giorni può aiutare però l’applicazione di un gel a base di clorexidina per esempio Corsodyl gel, avendo cura di farlo entrare bene tra dente e gengiva un paio di volte al giorno. Se così non fosse sappia che comunque con questa terapia non farà danni.

Stai visualizzando 15 post - dal 91 a 105 (di 194 totali)
Rispondi a: Risposta #17786 in La pressione su un dente mi provoca dolore

You can use BBCodes to format your content.
Your account can't use Advanced BBCodes, they will be stripped before saving.

Le tue informazioni: